- HOME>
- 硝子体手術
網膜硝子体手術について
網膜硝子体手術は、眼科手術の中でも特に繊細で高度な技術が求められる分野です。当院では、大学病院や総合病院で経験を積んだ眼科専門医が、黄斑上膜や網膜剥離、糖尿病網膜症など、さまざまな網膜疾患にご対応しています。
※当院では院長が提携施設にて硝子体手術を実施しております。

網膜硝子体手術の対応疾患について
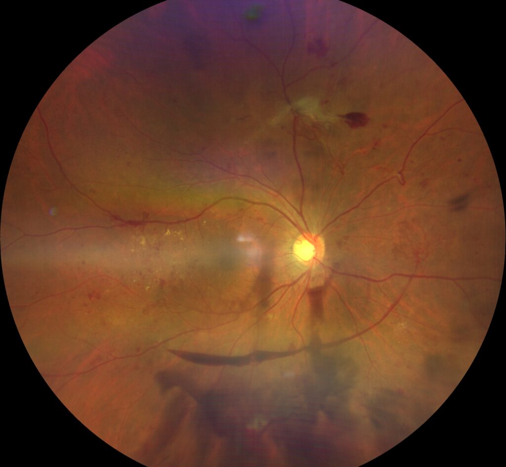
黄斑上膜
網膜の真ん中の部分を黄斑部といいます。黄斑部は視界の真ん中に相当する部分で、ものを見るのに一番大事な場所です。その黄斑部の網膜上に薄い膜が張る病気が黄斑上膜です。光干渉断層計(OCT)という画像検査で検出できます。黄斑上膜の症状は視力低下、ものがゆがんで見える歪視(わいし)、ものが大きく見える大視症(だいししょう)です。自覚症状が乏しいことも多いので、眼科受診時にたまたま見つかることもあります。黄斑上膜は硝子体手術が必要になります。しかし、黄斑上膜がある程度進行してからだと、手術をしても視力が上がりにくかったり歪視が残ったりするので手術時期は大切です。
網膜剥離
網膜に穴(裂孔)があいて、目の中の水が網膜の下に入っていくことで網膜が剥がれてしまう病気です。症状は視界の一部が見えにくくなります。進行すると失明につながる可能性もある病気なので、なるべく早く硝子体手術を行う必要があります。硝子体手術の時に目の中に特殊なガスを入れるため、術後は2週間程度、下向きなどの安静が必要になります。
黄斑円孔
網膜の真ん中に穴があいてしまう病気です。症状は視力低下、視界の真ん中が見えにくくなります。光干渉断層計(OCT)という画像検査で検出できます。黄斑円孔はそのままにしておくと穴が大きくなったり、近視が強い場合は網膜剥離になる可能性もあるため、早めの硝子体手術が必要になります。黄斑円孔では硝子体手術の時に目の中に特殊なガスを入れるため、術後は数日間下向きの安静が必要になります。
糖尿病網膜症
糖尿病による合併症の一つで、進行すると失明に至ることもある難治性疾患です。当院では早期発見と適切な時期での治療を大切にし、レーザー治療や、抗VEGF薬の硝子体注射にも対応しています。必要な場合は硝子体手術で根本的な治療をおこないます。
硝子体出血
眼の中に出血がたまり何も見えなくなる病気です。硝子体出血を起こす原因は、糖尿病、血管閉塞、加齢黄斑変性、裂孔(網膜に穴があく)など様々です。自然に治らない場合は硝子体手術が必要になります。
網膜血管閉塞症
網膜の血管(動脈もしくは静脈)がつまってしまう病気です。動脈がつまってしまうと視界が見えにくくなり、早く治療しないと見え方が戻らなくなります。静脈がつまった場合は、眼底出血や黄斑浮腫(網膜に水がたまる状態)が起こり視力低下など起こすことがあり、抗VEGF薬注射治療やレーザー治療が必要になります。
眼内レンズ亜脱臼
白内障手術を受けた後に、眼内レンズの支えが弱くなり目の中で眼内レンズが外れてしまう病気です。治療は硝子体手術で外れた眼内レンズを取り出し、新しい眼内レンズを眼の中に固定します。眼内レンズの入れ替えは難易度が高いことも多く、精度の高い手術をしないと手術後の見え方に影響します。
硝子体手術の流れ
flow01
局所麻酔
点眼麻酔に加え、白目の奥にもしっかり麻酔をして痛みを取り除きます。
flow02
白目に小さな孔をあける
0.4~0.5mm程度の微小な器具を挿入。痛みはほとんどありません。
flow03
硝子体の除去
専用機器で硝子体を吸引し、必要に応じて膜の除去やレーザー処置をおこないます。
flow04
灌流液のガス置換(必要時)
黄斑円孔や網膜剥離では、眼内の液体をガスに置き換える処置をおこないます。術後はうつ伏せ姿勢が必要になる場合もあります。
※手術時間は軽度であれば15分~30分程度、重度の疾患では長時間かかることもあります。
白内障との同時手術について
一般的には硝子体手術時に白内障手術も併用されることが多いですが、年齢や疾患によっては水晶体を温存する場合もあります。
